1 de cada 3,000 personas tiene un gen defectuoso que los predispone a un colapso pulmonar

Un reciente estudio de la Universidad de Cambridge, basado en un banco de datos genético con información de medio millón de personas, ha recalculado los riesgos de sufrir un colapso pulmonar por predisposición genética. Según sus hallazgos, más personas de lo que se tenía pensado podrían portar un gen defectuoso que elevaría las posibilidades de experimentar la afección.
Las personas con la mutación en el gen FLCN tienen una probabilidad de riesgo de sufrir un colapso pulmonar que oscila entre el 28 y 37%. FLCN además esta relacionado con el síndrome Birt-Hogg-Dubé (BHD), una enfermedad genética poco común que afecta la piel, los riñones y los pulmones. En otras palabras, el gen es el responsable del síndrome, pero, en caso de que la persona no lo manifieste, podría continuar con afectaciones graves en su sistema respiratorio.
Los resultados de este estudio, publicados en la revista Thorax, se basan en datos de los proyectos UK Biobank, 100,000 Genomes y East London Genes & Health, que en total abarcan información genética de más de 550,000 personas. Los investigadores descubrieron que entre uno de cada 2,710 y uno de cada 4,190 individuos es portador de la variante particular de FLCN que subyace al síndrome BHD. El resultado es alarmante, pues estimaciones anteriores calculaban que solo una persona de cada 200,000 podría albergarlo, es decir, 100 veces más que el conteo aquí mencionado.
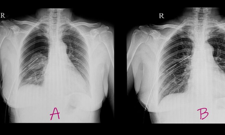
El colapso pulmonar o neumotórax ocurre cuando el aire se filtra en el espacio entre los pulmones y la pared torácica, lo que impide que el pulmón se expanda completamente. De acuerdo con la clínica Mayo, los síntomas incluyen un dolor de pecho repentino y la falta de aire, aunque la gravedad dependerá del nivel del colapso pulmonar. Puede ocurrir espontáneamente en personas jóvenes y fumadoras, por un trauma, por tejido pulmonar dañado, o como resultado del síndrome BHD.
El gen FLCN y relación con el cáncer y otras enfermedades genéticas
El gen FLCN lleva ese nombre porque es el encargado de proporcionar instrucciones que llevan al cuerpo a producir la proteína foliculina. Si bien su función no se comprende en su totalidad, se le relaciona con la reparación del tejido pulmonar y el control del crecimiento y la división celular. Sin embargo, si el gen experimenta una alteración en la secuencia de ADN, aumenta el riesgo de que una persona desarrolle enfermedades tumorales y en los folículos pilosos.
Por su delicada conexión con el síndrome, los científicos siguen investigando este gen. Por ejemplo, una persona con síndrome BHD tiene hasta un 37% de riesgo de sufrir un colapso pulmonar y 32% de desarrollar cáncer de riñón. El estudio encontró que las personas que no tienen el síndrome, pero sí el gen defectuoso, cuentan con 28% de riesgo de neumatórax, pero solo un 1% de presentar cáncer renal.
“Si una persona tiene el síndrome de Birt-Hogg-Dubé, es muy importante que podamos diagnosticarlo, porque esta y sus familiares también pueden correr riesgo de padecer cáncer de riñón», señaló Stefan Marciniak, profesor de la Universidad de Cambridge y coautor del estudio, en un comunicado.
“La buena noticia es que el colapso pulmonar suele ocurrir entre 10 y 20 años antes de que el individuo presente síntomas de cáncer de riñón, por lo que podemos vigilarlo, realizarle pruebas de detección anuales y, si detectamos el tumor, debería ser lo suficientemente temprano como para curarlo”, añadió.
Los resultados ayudarán a optimizar las pruebas médicas en casos de colapso pulmonar en pacientes jóvenes y descartar la necesidad de seguimiento para posibles casos de cáncer de pulmón.
“Con el aumento del uso de pruebas genéticas, sin duda encontraremos más personas con estas mutaciones, pero a menos que veamos los otros signos reveladores del síndrome de Birt-Hogg-Dubé, nuestro estudio muestra que no hay razón para creer que tendrán el mismo riesgo elevado de cáncer”, indicó el profesor Marciniak.
DERECHOS DE AUTOR
Esta información pertenece a su autor original y fue recopilada del sitio https://es.wired.com/articulos/1-de-cada-3000-personas-tiene-un-gen-defectuoso-que-los-predispone-a-un-colapso-pulmonar




